Implant
インプラント

第二の天然歯とまで言われています。
インプラントとは、虫歯や歯周病、外傷などで歯を失った場合に、骨に直接埋め込む人工の歯(人工歯根)のことを言います。
歯を失った場合にそのままにしておくと、周りの歯が傾いてしまうので、何らかの形で早期治療が必要となります。
インプラントは咬む力が入れ歯とは比べ物にならないほど強く、お手入れも簡単なので、入れ歯よりも幅広く食事が楽しめます。当院では「アストラテック」「オステム」のインプラントシステムを採用しています。高い精度とデジタル技術を活かし、より安全で確実な治療を提供しています。
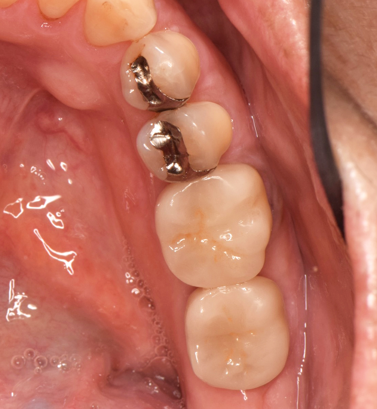
症例
Before
After
| 主訴 | 歯が痛い |
|---|---|
| 治療内容 | 歯根破折 →抜歯 →インプラント治療内容 |
| 治療期間 | 6ヶ月 |
| 治療費用 | 400,000円 |
| リスク | インプラント周囲炎、術後痛 |
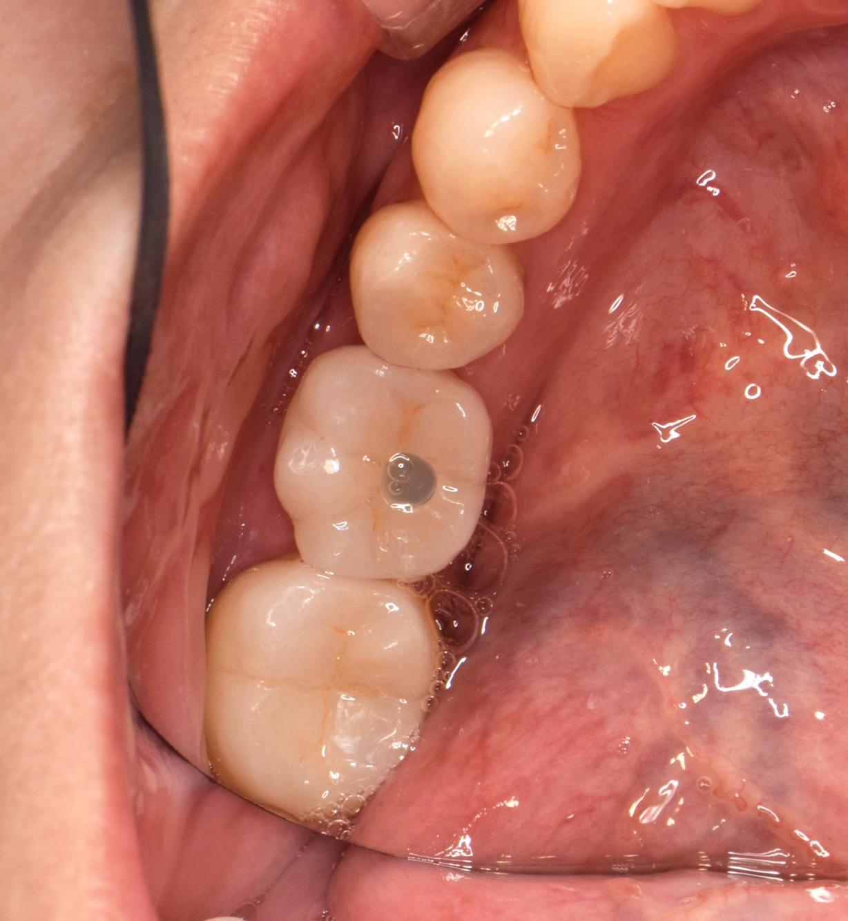
Before
After
| 主訴 | むし歯で痛い |
|---|---|
| 治療内容 | 左下567Br除去 →う蝕処置 →インプラント →補綴5.7セラミッククラウン、上部構造セラミック |
| 治療期間 | 6ヶ月 |
| 治療費用 | 680,000円(インプラント400,000円) クラウン:120,000円✕2 ファイバーコア:20,000円✕2 |
| リスク | インプラント周囲炎、術後痛、セラミックがかける |
Before
After
| 主訴 | 歯が折れた |
|---|---|
| 治療内容 | 右上5抜歯 →抜歯窩治癒後インプラント埋入+サイナスリフト →右上5上部構造印象、右上6セラミッククラウン印象 →セット |
| 治療期間 | 12ヶ月 |
| 治療費用 | サイナスリフト200,000円 インプラント400,000円 セラミッククラウン120,000円 |
| リスク | 周囲炎、欠け、術後痛 |
Before
After
| 主訴 | 奥歯が痛い |
|---|---|
| 治療内容 | 左下67再根管治療 →コア →クラウン |
| 治療期間 | 3ヶ月 |
| 治療費用 | ファイバーコア20,000円✕2、 セラミッククラウン120,000円✕2 |
| リスク | セラミッククラウン欠け |
Before
After
| 主訴 | 右下奥歯しっかり噛みたい |
|---|---|
| 治療内容 | 右下7インプラント |
| 治療期間 | 4ヶ月 |
| 治療費用 | 400,000円 |
| リスク | 周囲炎、破折、インプラント脱離 |
歯を削ることなくしっかり咬み合わせを回復できる

残念ながら一本の歯を失ってしまった場合、放置すると隣の歯が傾いたり、かみ合う歯が伸びだしてきたりします。
歯は隣の歯と支えあい、上の歯と下の歯で咬み合い、高さを維持しています。抜けたまま長期間放置するとさらに問題が大きくなってしまうのです。
両隣の歯を利用し、ブリッジという方法で咬み合わせを回復する手段もあります。しかしながら、両隣の歯が健康な歯であった場合に、削ってしまうのは非常に残念です。
健康な歯を削るのは我々医療に従事するものにとっても心が痛むことなのです。
インプラントを用いた治療であれば、健康な歯を犠牲にすることなく咬み合わせを回復することができます。
インプラントなら周りの歯に負担をかけません
従来は歯を失った場合、ブリッジや義歯(入れ歯)を作っていました。ところが、ブリッジは失った歯をはめ込むために両隣の歯を削ることにより、削った歯の寿命が短くなることがあります。また、義歯(入れ歯)は、堅い物を咬むと痛みがあったり、咬む度に入れ歯が動いたりして、必ずしも快適な使用感が得られる訳ではありません。また、抜けた本数が多い場合には、義歯を支える歯にも大きな負担がかかってしまいます。
インプラントなら、周りの歯に負担がかからず、インプラントを入れていること自体を忘れてしまうほど自然な装着感です。
入れ歯・ブリッジとの違い
入れ歯
残っている歯に針金をかけて失った歯を補う方法で、取り外し式です。針金が見えてしまったり、小数の欠損でも支持部が必要なので異物感がでてしまいます。また、取り外す回数により健康な歯に傷ができることさえあります。全ての歯を失ってしまった場合は、歯茎で人工の歯を支えることになります。顎の骨が退化している場合は安定が悪くなります。人により異物感がひどくあり、嘔吐反応がでる場合があります。
ブリッジ
ブリッジとは、歯を失ってしまった箇所を補うために両隣の歯を一回りずつ削り、歯を失ってしまった箇所に取り外しのできない入れ歯を入れる方法です。この治療法には保険が適用されます。ただ周囲の健康な歯を削る必要があります。
また、食べかすが詰まってしまい歯槽膿漏や虫歯の原因になる可能性もあります。保険内でのブリッジの場合、笑うと銀歯が見えることもあります。費用をかけることにより、見た目に美しく仕上げることも可能です。
インプラント

特徴
- 健康な歯を削る必要がない。
- 外見上も不自然さがない。
- インプラント(埋め込み)なのでしっかり固定され、他の歯に負担をかけない。
- 咬む力もあり天然の歯と変わらない食感を楽しめる。
- 咬み合わせが良く、顎の骨が痩せるのを防ぐ。
費用
- 保険は適用されない。
- 費用は、見た目の良い入れ歯やブリッジと同程度。
※治療本数、部位などによって費用は多少異なります。
ご質問やご相談はお気軽に。
ブリッジ

特徴
- 失った歯の本数が少ない場合によく使われる方法。
- 取り外し式の部分入れ歯に比べれば、安定している。
- 咬む力も回復できる。
- ブリッジは人工歯を支える健康な歯に負担をかける。
- ブリッジを支える健康な歯を削らなければならない。
費用
- 保険適用されるものもある。
義歯(入れ歯)

特徴
<部分入れ歯>
- 取り外しができる。
- ブリッジのように健康な歯を削らずにすむというメリットがある。
- 不安定なため咬む力は弱くなる。
- 違和感がある場合が多い。
<総入れ歯>
- 部分入れ歯よりも、さらに安定が悪くなる。
- 歯茎全体で入れ歯を支える形になり、咬む力もかなり弱くなる。
- 食べ物の咬み心地が分からないため食べる楽しみが失われる。
- 顎の骨がやせて合わなくなると作り直す必要がある。
費用
- 保険適用されるものもある。
より安全な治療のために
当院では、CTによる精密な3D診断を行い、手術前の詳細な治療計画を立てています。これにより、神経や血管の位置を正確に把握し、安全な手術が可能です。
また、不安や恐怖心の強い方には静脈麻酔をご用意しています。眠っている間に治療を行うため、痛みや不安を感じることなく手術を受けていただけます。
インプラント手術の流れ
インプラント自体は虫歯にはなりませんが、インプラント施術箇所(口腔内も含む)を清潔に保たないと、インプラント歯周炎により周りの歯肉が駄目になってしまいます。
インプラント手術後は、天然歯以上に、毎日のケアが重要になります。
歯科医院にて医師や歯科衛生士によるケア(お口の掃除)と正しいブラッシングができない状態ですと、せっかくのインプラントも数年しか持たないということもあります。
正しい歯磨きの習慣を身につけてからインプラント手術をされるのが理想です。
また、インプラント手術後も歯科医院でのメンテナンスが必要になります。
検診・メンテナンスを怠りますと当歯科医院では保証の責任をもてなくなります。
当歯科医院では、インプラントの維持のための検診・メンテナンスを受けることに同意して頂いてから手術をおこないます。
インプラント手術 2回法
1.埋入手術(1回目の手術)

十分な麻酔のもとフィクスチュアーを埋めます。これがインプラントの土台となります。
歯茎を少し切開し、顎の骨を包んでいる粘膜をはがし小さな穴をあけます。骨はネジ式にフィクスチュアーと合うようになっています。そこにフィクスチュアーを埋入し、2次手術に備えフィクスチュアーにカバーをかぶせます。CT画像をもとに作成した手術ガイドを使用することで、より正確で安全な埋入が可能です。
2.縫合

歯肉を上から閉じ合わせ、フィクスチャーを完全に埋没させます。
3.骨結合を待ちます

インプラントとあごの骨の結合を3~6ヶ月待ちます。
出来るだけ仮歯を使ってより快適に過ごしていただきます。
4.つなぎ目をつける(2回目の手術)

歯となる部分とのつなぎ目(アバットメント)をつけます。
インプラント2次処置、土台のための型とり(埋入処置後、約3~6ヶ月後を予定)
5.人工歯をかぶせる

仮歯を外し、完成した人工の歯(上部構造)をつけます。
6.メンテナンス
治療終了後も、継続的なメンテナンスが必要です。
10年後でも95% カギはメンテナンス
インプラント治療は、成功率の高い治療
インプラント材料の技術は目覚しく発展しています。
近年の研究報告では、インプラントが10年後口の中で機能している確率は約95%でした。
インプラントは、正しく利用することで、長持ちする治療法と言えます。
長く持たせるためにインプラント治療で最も大切なのは、治療終了後のメンテナンスです。
長く使い続けるためにも、定期的なメンテナンスに通っていただく必要があります。
インプラントの具合が悪くなったら
残念ながらインプラントはすべての方が一生使用できるわけではありません。
なかには除去しなければならないケースもあります。
インプラント除去は多くの場合「自分の歯」を抜くのと同じです。
インプラントを除去した場合、ほとんどの方が「再びインプラント治療」を希望されます。
その際はインプラントを抜いた部位の骨の回復後、再度インプラント治療を行います。
ただし、骨の吸収が進んだ場合には再度のインプラント治療が不可能な場合があります。
※インプラントが悪くならないように手入れを行い、定期検診を受けましょう!
Information
院内案内
-
医療法人社団 健佑会
-
昭和通り歯科
東京都江戸川区南小岩7-31-13
パロス南小岩1階
TEL.03-3671-8008 -
ケン歯科・矯正歯科
〒272-0143 千葉県市川市相之川4-17メトロ東西線南行徳駅1F
TEL.047-397-1181 -
ゆうゆう歯科
千葉県市川市
市川南3-1-1
TEL.047-326-7780 -
ゆう歯科クリニック
埼玉県さいたま市緑区東浦和2-51-26
サミットストア東浦和店内
TEL.048-810-5733 -
K スマイル歯科
千葉県松戸市日暮1-3-1
及川ビル2F
TEL:047-387-1182

