Mouth piece
マウスピース矯正

快適で目立たない新しい矯正治療
マウスピース矯正は、従来の金属製のワイヤーやブラケットを使用せず、透明なプラスチック製の装置(アライナー)で歯並びを整える矯正治療法です。目立ちにくく着脱も可能なため、日常生活への影響を最小限に抑えることができます。
当クリニックでは、インビザラインシステムを採用し、患者様一人一人に合わせた最適な治療計画を提供しています。
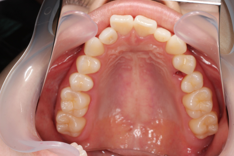
症例
Before
After
| 主訴 | 歯並びの乱れ(叢生)があり、口元の突出感を抑えたい |
|---|---|
| 治療内容 | インビザラインを用いた治療 (非抜歯ケース) |
| 治療期間 | 1年7ヶ月 |
| 治療費用 | 基本料金:660,000円 調整料:3,300円 × 24回 |
| リスク | 取り外し式装置で、1日24時間中22時間使用しなければならず、しっかりと装置を装着できないと歯は思ったように動きません。 |
マウスピース矯正の仕組み
段階的な歯の移動
-
マウスピース矯正では、コンピューターで計算された移動計画に基づき、少しずつ形状の異なるマウスピースを順番に装着していきます。各マウスピースには微細な違いが設計されており、2週間ごとに新しいマウスピースに交換することで、徐々に理想の歯並びへと近づけていきます。
-
精密な治療計画
治療開始前に3Dスキャナーで撮影した口腔内データをもとに、コンピューター上で歯の動きをシミュレーション。この精密な計画に基づいて、一連のマウスピースを作製します。患者様は治療開始前に、完了までの過程と最終的な歯並びをご確認いただけます。
インビザラインの特徴
インビザラインは、マウスピース矯正のパイオニアとして20年以上の実績を持つシステムです。以下のような特徴があります。
-
独自の素材開発
インビザラインでは、独自開発したスマートトラック素材を使用。この素材は歯にフィットしやすく、効率的な歯の移動を可能にします。また、装着時の快適性も考慮して開発されています。
-
高度なテクノロジー
- 専用の3Dスキャナーによる精密な口腔内データの取得
- AIを活用した治療計画の立案
- 特許取得済みの製造プロセスによる高精度なマウスピース作製
-
豊富な治療実績
世界中で1,200万人以上の治療実績があり、様々な症例データに基づいた信頼性の高い治療を提供できます。また、継続的な研究開発により、治療技術は日々進化しています。
-
治療のカスタマイズ
患者様の症状や生活スタイルに合わせて、様々な治療オプションをご用意しています。- 複雑な症例に対応する包括的な治療
- 軽度の歯列不正を改善する短期治療
- 前歯部分に特化した審美治療
治療の特徴と利点
マウスピース矯正の最大の特徴は、装着時の見た目の美しさです。透明なマウスピースは、周囲の人からほとんど気付かれることなく矯正治療を進めることができます。さらに、以下のような利点があります。
-
1. 取り外しが可能
食事や歯磨きの際に取り外すことができるため、従来の矯正装置のような食べづらさや歯磨きの困難さがありません。
-
2. 快適な装着感
プラスチック製のマウスピースは、金属製の装置と比べて口腔内での違和感が少なく、舌や頬の痛みも最小限に抑えられます。
-
3. 治療過程の可視化
コンピューターシミュレーションにより、治療開始前に完了までの過程と最終的な歯並びを確認することができます。
治療の流れ
-
1. 初回カウンセリング
詳細な検査と診断を行い、患者様の状態や希望に合わせた治療計画を立案します。治療費用や期間についても詳しくご説明いたします。
-
2. 3Dスキャン撮影
最新の3Dスキャナーで口腔内を撮影し、精密なデジタルデータを作成します。このデータをもとに、治療計画に沿ったマウスピースを設計します。
-
3. 治療シミュレーション
コンピューター上で歯の動きをシミュレーションし、治療完了までの過程をご確認いただきます。必要に応じて調整を行い、最適な治療計画を確定します。
-
4. マウスピース装着
約2週間ごとに新しいマウスピースに交換しながら、徐々に理想の歯並びへと近づけていきます。1日20時間以上の装着を推奨しています。
料金プラン
| インビザライン フルパッケージ |
基本料金770,000円 全ての歯を矯正するフルパッケージ 調整料は3,300円/1回 |
|---|---|
| インビザライン ライトパッケージ |
基本料金440,000円 簡単な症状に適応するお気軽な矯正です 調整料は3,300円/1回 |
| インビザライン 見えるところだけパッケージ |
基本料金330,000円 見えるところだけを効率よく矯正します 調整料は3,300円/1回 |
※治療前の検査費用33,000円が別途必要です。
※一回当たりのお支払いを楽にしたい方には、アプラスのデンタルローンもご利用いただけます。
治療期間について
治療期間は症例により異なりますが、一般的に6ヶ月から2年程度です。近年の技術進歩により、従来の矯正装置と比べて治療期間が短縮される傾向にあります。
メンテナンスとケア
マウスピース矯正は、日々の適切なケアが治療成功の鍵となります。以下の点にご注意ください。日々のケアポイント
- マウスピースの装着時間を守る(1日20時間以上
- 食事・飲料時は必ず外す
- 装着前の歯磨きと清潔な口腔内の維持
- マウスピースの定期的な洗浄と管理
矯正治療の可能性
近頃、マウスピース矯正は、技術の進歩により多くの方に選ばれる治療法となっています。装置が透明で目立たず、取り外しも可能なため、日常生活への影響を最小限に抑えることができます。
当クリニックでは、インビザラインによるマウスピース矯正を専門的に行っております。治療計画から装着後のケアまで、丁寧にサポートさせていただきます。まずは無料カウンセリングにて、ご要望やお悩みについてお気軽にご相談ください。
マウスピース矯正に興味をお持ちの方は、ぜひ一度ご来院ください。専門の矯正歯科医が、あなたに最適な治療プランをご提案させていただきます。
矯正担当医

■経歴
- 昭和53年 開成高校卒業
- 昭和53年 慶應義塾大学入学
- 昭和61年 岡山大学歯学部卒業
- 昭和61年 慶応義塾大学病院勤務
Information
院内案内
-
医療法人社団 健佑会
-
昭和通り歯科
東京都江戸川区南小岩7-31-13
パロス南小岩1階
TEL.03-3671-8008 -
ケン歯科・矯正歯科
〒272-0143 千葉県市川市相之川4-17メトロ東西線南行徳駅1F
TEL.047-397-1181 -
ゆうゆう歯科
千葉県市川市
市川南3-1-1
TEL.047-326-7780 -
ゆう歯科クリニック
埼玉県さいたま市緑区東浦和2-51-26
サミットストア東浦和店内
TEL.048-810-5733 -
K スマイル歯科
千葉県松戸市日暮1-3-1
及川ビル2F
TEL:047-387-1182

